Teilprothesen
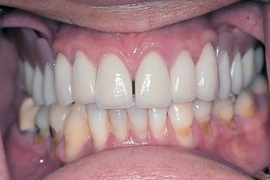
Sind nur noch wenige Restzähne im Kiefer erhalten, ist oftmals eine prothetische Versorgung mit Kronen und Brücken, also fest einzementiert, nicht mehr realisierbar. Scheidet eine Versorgung mit Implantaten – aus welchen Gründen auch immer – aus, dann muss der Zahnersatz herausnehmbar gestaltet werden.
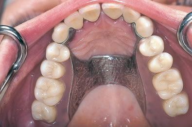
Dies ist auch aus hygienischen Gründen notwendig, da eine Abstützung, d.h. die Ableitung des Druckes beim Kauen über die wenigen Restzähne, nicht vollständig möglich ist und somit eine flächige Auflage auf dem Kieferknochen – ein so genannter Sattel – für diese sorgen muss.
Eine ausreichende Reinigung unter diesem Sattel ist nur möglich, wenn dieser herausnehmbar ist.
Eine Befestigung an den Restzähnen kann durch gegossene Halteelemente (Klammern) erfolgen. Werden die verbliebenen Zähne überkront, kann die Verbindung zum Zahnersatz beispielsweise durch Geschiebe, Teleskope, Knopfanker oder Stege erfolgen.
Im Ergebnis dessen entsteht ein sowohl funktionell als auch ästhetisch zufriedenstellender Zahnersatz. Wie auch bei festsitzenden und implantatgetragenen Lösungen muss die Entscheidung für eine bestimmte Therapie allerdings immer individuell anhand einer Vielzahl von Kriterien nach einer genauen Diagnostik im Gespräch zwischen Zahnarzt und Patient festgelegt werden.
